Stingfree recommended by dentists
20 out of 23 dentists that have tried Stingfree recommend it to patients with snus lesions or irritated gums.
Background:
Users of snus and nicotine pouches report high rates of oral health issues such as receding gums, snus lesions and gingivitis. Bengt Wiberg has invented a snus and nicotine pouch with an impermeable barrier facing the users’ gums. This barrier is intended to lessen the adverse effects of snus and nicotine pouches on the gums and oral mucosa.
The Pilot Study:
In the the peer reviewed study Self-reported oral health outcomes after switching to a novel nicotine pouch technology: a pilot study 23 Swedish dentist, who were also snus or nicotine pouch users at the time, participated in evaluating the effects of switching to Stingfree nicotine pouches. These dentist were asked to completely replace the pouch products, that they where using at the time, with Stingfree Strong Blue Mint for 5 weeks. The dentists received no compensation for participating in the test.
Before starting the trial the dentists had to fill out an oral health questionnaire and submit at least one photograph of their gums at the place where they normally seat their pouches. If snus lesions were present then they where rated on the Axell severity scale of 1-4. A blinded dentist, who did not himself participate in the trial, reviewed these photos to ensure that the grading of snus lesions was accurate.
The dentists were then provided with enough Stingfree Strong Blue Mint to cover their average pouch consumption for 5 weeks. After these 5 weeks the dentists again filled out another oral health questionnaire and submitted another photo of their gums.
Results:
The test group saw significant oral health improvements from replacing their preferred snus and nicotine pouches with Stingfree nicotine pouches with a built in protective layer called Protex® for the gums.
After five weeks the amount of test persons with irritated gums had been reduced from 43.5 % to 4.3 %.
The amount of dentists with oral mucosal snus lesions was reduced from 95.7 % to 69.6 %.
There was also a significant reduction in the severity of lesions. At the start of testing 39% of dentists reported moderate to severe lesions (Axell-scale score of 3 or 4) and at the end of the study no moderate or severe lesions were present.
After the study was completed, 20 out of the 23 dentists confirmed in writing that they recommend Stingfree pouches to their patients that suffer from snus lesions or irritated gums but who are unwilling or unable to stop using pouches.
“I am very proud that my invention is now the world’s only nicotine pouch that is recommended by dentists.”
Bengt Wiberg, inventor of Stingfree
Image 1a:
The upper gums of a 40-45 year old dentist who ordinarily uses portion snus and nicotine pouches. Prior to the the test, using Stingfree nicotine pouches, the gums had snus lesions with severity grade 3 out of 4 on the Axéll-scale
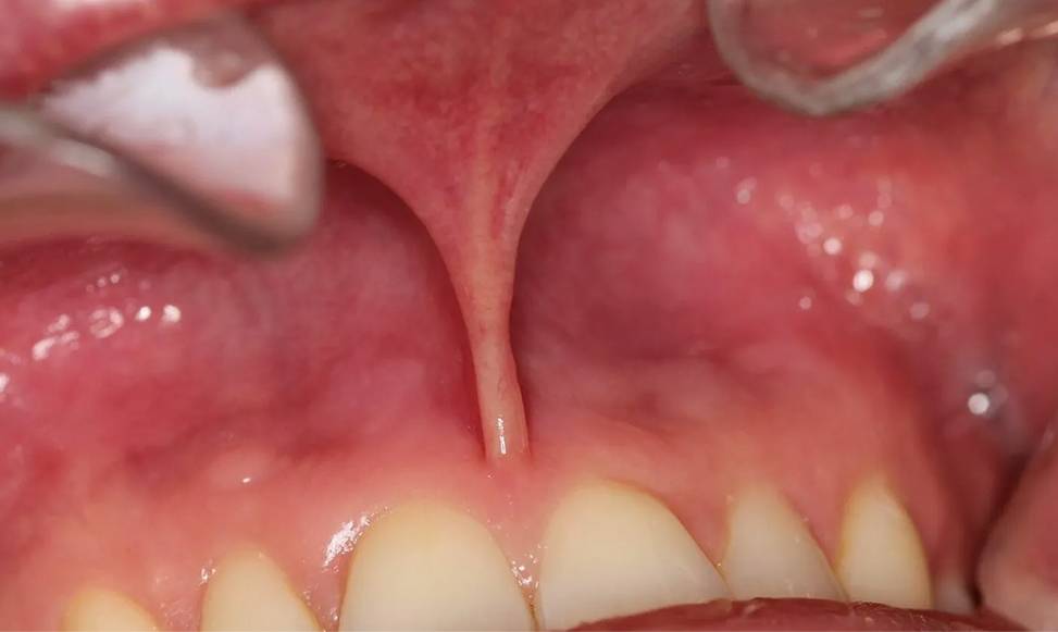
Image 1b:
The upper gums of the same dentist (image 1a) after having replaced their ordinary pouches with Stingfree pouches for 5 weeks. There is no longer any snus lesions and the mucous membrane has completely healed.
