University of Gothenburg study
A new study has been initiated at the University of Gothenburg to study the effects on oral health from using nicotine pouches. The university has released a statement detailing that the study is being initiated because a number of dental patients referrals from dental clinics to the University. These patients have gum damage that differs from what is commonly seen in users of traditional tobacco-based snus. This statement has been widely reported by Swedish news media.

Pilot study Protex® effect on oral health
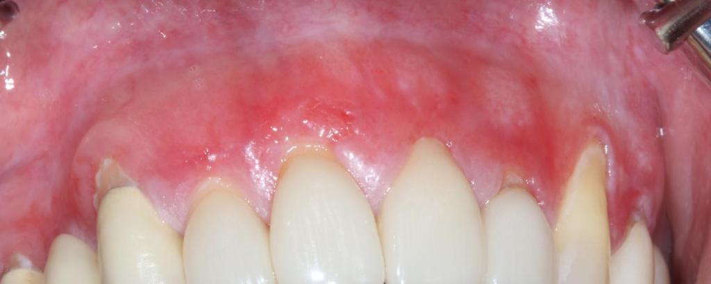
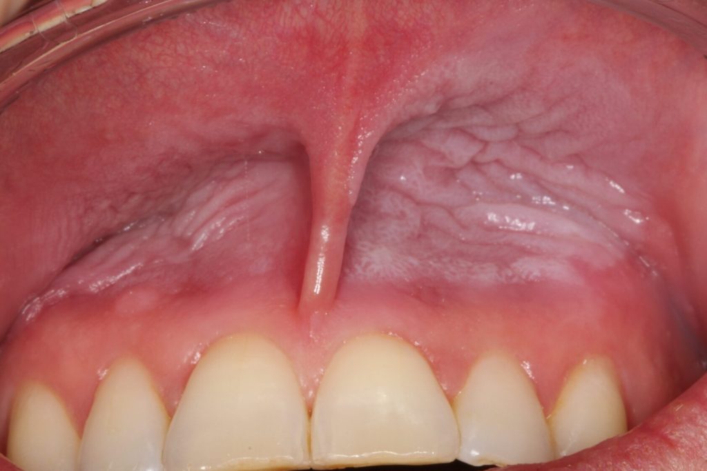
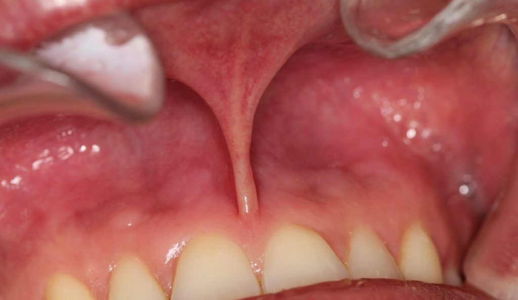
A pilot study with 23 Swedish dentists who were daily pouch users of either tobacco snus or nicotine pouches (referred to as “white snus” in the University of Gothenburg statement , several of which had similar gum issues to those documented by Dr Gale including irritated or inflamed gums, snus lesions and receding gums. In our test the occurrence and severity of gum irritation and snus lesions was reduced significantly when users switched to using only Stingfree pouches for 5 weeks. Stingfree pouches have the same type of contents as ordinary pouches but the pouch itself has a protective layer called PROTEX that prevents direct contact between the pouch contents and the users’ gums.


Stingfree AB believes that the ongoing investigations into the oral health implications of nicotine pouches are a positive step towards a more informed and responsible industry. The company remains committed to providing innovative products that prioritize user well being and welcomes the opportunity to contribute to a future where nicotine consumption is safer and less harmful.
List of some of the many reports in the media of this new study:
https://www.svt.se/nyheter/nyhetstecken/vitt-snus-kan-leda-till-svarlakta-skador
https://www.expressen.se/nyheter/sverige/nya-studien-vita-snuset-forstor-munnen/
https://www.sverigesradio.se/artikel/tidigare-okanda-skador-i-munnen-har-upptackts-fran-vitt-snus
https://www.dn.se/sverige/skador-i-munnen-efter-vitt-snus-granskas-i-ny-studie
